Kişiselleştirilmiş bir abutment ile orijinal bitmiş bir abutment arasındaki fark nedir?
Feb 10, 2023
Mesaj bırakın
Dental implant abutment türleri arasında: Kişiselleştirilmiş abutment ile orijinal bitmiş abutment arasındaki fark nedir?

Kaç çeşit dental implant dayanağı vardır?
Genel olarak, orijinal dayanak, kişiselleştirilmiş dayanak ve bazı kısmi aşındırıcı dayanaklar olmak üzere 3 tip dental implant dayanağı vardır; daha fazla alt bölümlere ayrılırlarsa, ortak dayanaklar ve kompozit dayanaklar olarak ayrılabilirler.
Ancak çoğu durumda, ortak abutment orijinal bitmiş abutmenttir (tekli restorasyonlar için) ve kompozit abutment kişiselleştirilmiş abutmenttir (çoklu restorasyonlar için).

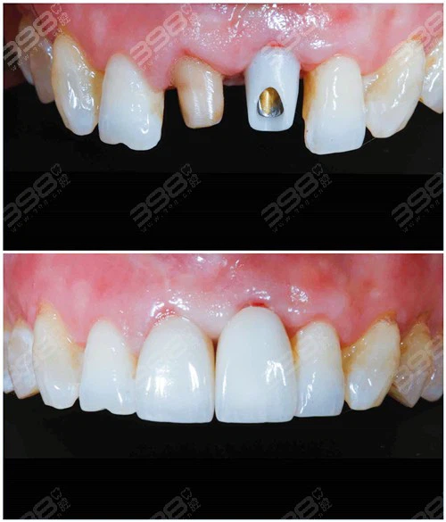
Ancak kişiselleştirilmiş bir abutment ile bitmiş bir abutment arasındaki fark nedir?

Bitmiş abutmentler, yani orijinal jenerik abutmentler, implant şirketi tarafından yapılan abutmentlerdir ve klinik uygulamada modifikasyonlara veya ayarlamalara izin vermez.
Avantajı ekonomik olması ve implanta daha iyi uyması, dezavantajı ise müşterinin diş durumuna göre sabitlenemeyecek olmasıdır.
Kişiselleştirilmiş abutment, müşterinin diş eti morfolojisine göre özelleştirilir ve birçok diş durumu türü için uygundur ve yalnızca estetik açıdan hoş olmakla kalmaz, aynı zamanda kırılmaya daha az eğilimlidir; ancak dezavantajı daha pahalı olmasıdır.

